セラミック症例集|豊島区西池袋で歯科技工所・デンタルラボをお探しの方はティースクリエイティブまで

豊島区西池袋の歯科、ティースクリエイティブ

セラミック症例集

セラミック症例

  • 治療前
    症例
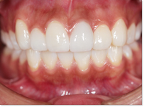
  • 治療後
    症例
    症例
  • 治療前
    症例
    症例
  • 治療後
    症例
  • 治療前
    症例
  • 治療後
    症例
    症例
  • 治療前
    症例
  • 治療後
    症例
    症例

画像提供:医療法人ワイズデンタルキュア

当ラボでは、セラミック、メタルに関してもほぼCAD・CAMで精密なスキャニング、設計、製作ができることで高品質な制度の良い技工物を納品し、お客様各位に喜ばれております。
興味をお持ちの方は、ぜひご連絡をお待ちしております。

お問い合わせ

e-mail teethcreative@gmail.com
TEL 03-6907-1674
FAX 03-6907-1594